TMJ (Temporomandibular Joint Dysfunction)
The TMJ joints are where the lower jaw is attached to the skull. Think about how often you move these joints during day. The only time they truly rests is at night, unless of course you grind your teeth! There is a left and right TMJ joint.
Protecting the joint is a disc that sits between the condyle of the mandible and the underside of a skull bone called the temporal bone. Additionally a muscle called lateral pterygoid attaches to this disc.
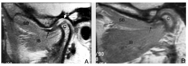
Example of TMJ on 50 Year-Old Woman:

Above is a picture of the left and right TMJ of a 50-year old woman. On the right (A) the lateral ptyergoid is weakened and atrophied while on the left (B) it is overdeveloped. They both can cause significant pain. In our office, we focus on treating the muscular imbalance that exists in the joint, restoring strength, reducing spasm and returning it to function. With the restoration of function, the pain associated with chewing usually resides. Dr. Zumpano will NEVER perform a high velocity adjustment to these joints. His treatments restore the proper biomechanial motion into the joint by emphasising manual muscle therapy.